前段时间,55岁的陈女士在体检时,被查出右肾多发结石,且结石形似“鹿角”,属于典型的“铸型结石”。 真是“不查不知道,一查吓一跳!”
什么是鹿角形结石?严重吗?需要怎么治疗?
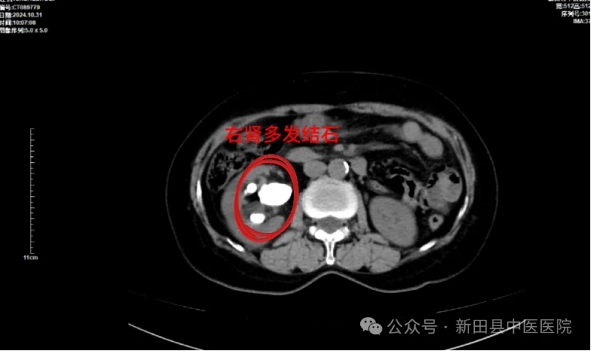
带着这些疑问,陈女士慕名到新田县中医医院找泌尿外科邓勇军主任求诊。邓勇军详细询问陈女士病史并进行了仔细体查,结合其检查报告“右肾多发结石,其中最大结石约40x27mm”,建议陈女士住院行手术治疗,并告诉她,肾脏巨大铸型结石是比较严重的,继续发展会导致肾脏积水,肾功能不全。

▲术前DR

▲术前CT
邓勇军介绍,铸型结石是泌尿系统结石中最难处理的结石,由于患者右肾多发铸型结石大且过于分散,很难通过一次手术彻底将结石完整取出。这种结石深入到肾盂肾盏,空间比较狭小,因此碎石的时候要特别小心,既要粉碎并取出结石也要防止钬激光伤及周围组织,激光的能量控制要格外注意。同时患者肾脏完全无积水,穿刺建立通道困难且易于出血,稍有不慎则肾脏难以保全。
陈女士入院后,予积极完善相关检查。开展术前讨论,全面评估病情,制定手术方案。在做好充分术前准备后,邓勇军团队为陈女士施行了右侧经皮肾镜钬激光碎石取石术(PCNL术)。凭借丰富的经验和精湛的技术,邓勇军顺利将陈女士肾脏内的这颗“鹿角”成功击碎清除。
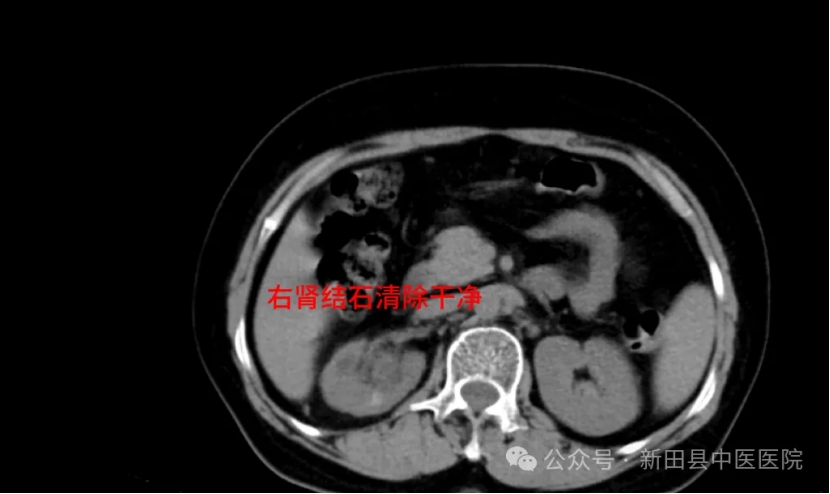
术后影像学检查提示,右肾结石清除干净。一周后,陈女士康复出院时,对邓勇军主任连声称赞。

▲术后DR

▲术后CT
近年来,新田县中医医院泌尿外科团队秉承“技术精、服务优、高标准、严要求”的服务宗旨,不断提升服务质量和技术水平,微创技术突飞猛进,在处理复杂、巨大、多发结石等方面,积累了丰富的临床经验,基本上取代了传统的开放手术,病人住院时间短、手术创伤小、恢复快。
病例分享1
病例:患者肖先生,44岁,因右侧腰腹部疼痛1月余入院。查体:右肾区有叩痛。CT提示右肾铸型结石,右输尿管上段结石并有右输尿管、右肾盂及右肾盏稍积水扩张。

▲术前DR

▲术前CT
治疗:患者右肾铸型结石,最大结石约41x40mm,右肾少量积水,于2024年10月23日在全麻下行右侧PCNL术,术后予抗感染、止血、止痛、利尿排石及中医特色治疗等对症支持治疗。
术后影像学检查提示:右肾结石清除干净.术后一周患者顺利出院。

▲术后DR

▲术后CT
病例分享2
病例:患者单女士,59岁,因体检时发现右肾结石10余天入院。查体:双肾区无明显叩击痛,双侧输尿管行程区及膀胱区无压痛。CT提示右肾多发结石,肾盂内铸型结石,肾盂及右肾盏稍积水扩张,左肾小结石。

▲术前DR

▲术前CT
治疗:患者右肾多发结石,最大结石约35x30mm,右肾轻度积水,于2024年11月4日在全麻下行右侧PCNL术,术后予抗感染、解痉止痛、补液等对症支持治疗。
术后影像学检查提示:右肾结石清除干净,患者于术后5日顺利出院。

▲术后DR

▲术后CT
![]()
什么是“经皮肾镜碎石取石术”

经皮肾镜碎石取石术(PCNL)作为一种高效的微创手术方法,在彩超或者X光定位下,通过肾盏穹隆中央相对无血管区穿刺,仅需切开0.5cm左右切口,根据需要采用单通道或多通道,使用碎石工具,比如钬激光、气压弹道、EMS等将结石击碎取出。具有创伤小、恢复快、结石清除率高等显著优势,是肾结石治疗的首选方案,部分患者术后甚至无需留置造瘘管、双J管,达到部分无管化、全无管化。
经皮肾镜碎石术优势
创伤小
仅需在腰部开0.5厘米左右的微小切口,极大地减少了手术创伤和患者的痛苦。
取石彻底
结石清除率高达90%以上,有效避免了结石残留和复发的问题。
适应范围广
经皮肾镜碎石取石术适用于多种类型的泌尿系结石,包括大于2厘米的肾结石、输尿管上段结石以及特殊类型的结石,如铸型结石、感染性结石等。
恢复时间短
术后恢复迅速,通常在术后第3-5天患者即可下床活动,住院时间大大缩短。
经皮肾镜碎石术适应症
肾结石
尤其是结石位置不佳、结石过大或硬度较高的情况。
输尿管上段结石
直径大于1.5cm或因息肉包裹、输尿管迂曲导致体外碎石(ESWL)无效的结石。
特殊类型结石
如小儿肾结石、肥胖病人的肾结石、肾结石合并肾盂输尿管连接部梗阻等。
经皮肾镜碎石术禁忌症
未纠正的全身出血性疾病、严重心脏疾病和肺功能不全、未控制的糖尿病和高血压等患者。